이전 홈페이지 환자후기 - 치료후기2
페이지 정보
작성자 최고관리자 댓글 0건 조회 8,729회 작성일 17-11-16 23:16
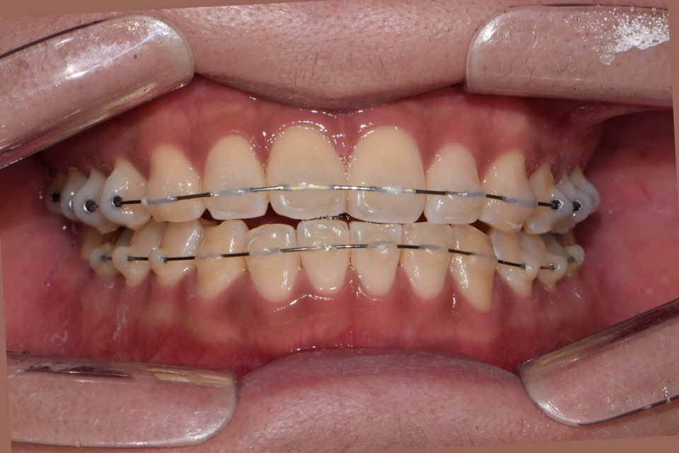
월별로 방문을 거듭할 수록 처음교정을 시작했을 때 보다 전체적인 균형이 잡혀가는 모습입니다. 와이어를 바꿀 때면 적응기간이 필요해서 예민해지곤 했는데
점점 변해가는 모습을 보면서 웃으면서 참을 수 있었습니다. 중간중간 원장님과의 상담을 통해 앞으로 진행상황이나 지금까지의 변화를 체크해주셔서
안되면 어쩌지라는 불안도 금세 사라지게 해주셔서 마음편히 믿고 진행습니다.

이제 1년이 지나고 마무리과정에서 이전보다는 좀더 잡혀있는 모습입니다. 거의 교정을 끝내가는 단계인데 완전히 제거후에 모습이 기대가 됩니다.
작성자 : 안병주 환자분
댓글목록
등록된 댓글이 없습니다.


